
Мы предлагаем:
Косметическая стоматология устраняет всевозможные дефекты зубов, такие как сколы, широкие межзубные промежутки, потемнение эмали, неровное расположение зубов. В клинике эстетической стоматологии на Арбате:


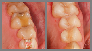
Это восстановление зубных тканей, при котором полностью воссоздается архитектура зуба с учетом его анатомических особенностей и пожеланий пациента. Данный процесс весьма сложен и требует от стоматолога не только высочайшего мастерства, но и творческих способностей. Художественная реставрация — это:
Отреставрированные зубы обладают такими же свойствами, что и натуральные — точно так же они могут скалываться и истираться со временем. Если за композитами хорошо ухаживать – тщательно чистить с помощью пасты, щетки, флосса и ирригатора, не щелкать зубами семечки и каждые полгода ходить на полировку, они прослужат 8-10 и даже более лет.
Это непрямая реставрация с помощью различных конструкций — виниров, люминиров, коронок и вкладок, которые изготавливаются из стоматологического фарфора или других материалов. Процесс ортопедического восстановления зубов занимает несколько дней и включает в себя несколько этапов:
Успешный опыт работы более 8-ти лет позволяет гарантировать высочайшее качество лечения зубов. Нам доверяют пациенты со всего мира!
В своей работе мы используем профессиональное оборудование и материалы от ведущих производителей США, Италии, Германии, Израиля и Японии.
Вежливые и профессиональные доктора нашего центра обеспечивают максимально комфортные условия лечения. Существует специальная программа лечения для тех, кто боится лечения зубов.
Гибкие условия оплаты и умеренные цены позволяют получить качественное лечение по приемлемой цене. Этого удалось достичь благодаря максимальной оптимизации процесса лечения.
Вам перезвонит первый наш
освободившийся специалист