Все мы мечтаем иметь белоснежную улыбку. Но что делать, если после лечение кариеса, один из передних зубов окрашивается в коричневый, розовый или серый цвет? Кроме того, вместе с зубной коронкой темнеет и корень, создавая эффект «синей десны»
Ранее такой зуб подлежал обязательному препарированию (обтачиванию) с последующим покрытием его коронкой. Современная стоматология предлагает альтернативный метод решения этой проблемы – внутриканальное отбеливание мертвых зубов или эндоотбеливание.
Внутриканальное отбеливание представляет собой процедуру отбеливания депульпированного ранее зуба, в полость которого вводится осветляющее вещество. Данная манипуляция выполняется врачом-стоматологом, является безболезненной и очень эффективной.

Процедуру нельзя проводить:
В первое посещение ваш лечащий врач проводит тщательный осмотр ротовой полости и выявляет причину изменения цвета зуба. Дополнительно он назначает рентгенологическое исследование, чтобы оценить качество эндодонтической обработки и пломбирования корневого канала, убедиться, что в нем отсутствует остаточный воспалительный процесс.
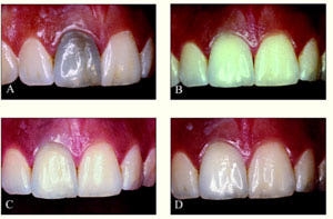
После этого доктор удаляет старую пломбу и тщательно очищает зуб от красящих веществ. Далее на устья корневых каналов наносится изолирующая прокладка из стеклоиономерного цемента, чтобы не допустить попадания отбеливающего вещества в корневые каналы. В полученное пространство вводится отбеливающий гель, например, Opalescence Endo. Сверху на него устанавливается временная пломба на 14 дней.
В следующее посещение временную пломбу и гель удаляют и по необходимости процедуру повторяют. Для достижения требуемого эффекта может понадобиться до 5 посещений. Далее проводится реставрационное восстановление зуба с помощью современных композитных материалов. Повторное внутреннее отбеливание зуба выполняется через год или более.
Во время внутриканального отбеливания химические вещества, которые содержатся в геле, действуют на белки красителей и разрушают их. Так как структура белковых веществ пломбировочных материалов различна, существует некоторый риск того, что при отбеливании зубов с пломбами данная методика может оказаться неэффективной. Также не нужно забывать о том, что эндоотбеливание делает депульпированный зубе еще более хрупким. Поэтому его нельзя выполнять более четырех раз.
Не следует пытаться отбелить потемневший зуб с помощью полосок, паст и гелей для домашнего применения. Они не удалят краситель из полости зуба, но окажут негативное действие на эмаль, понизив ее защитные свойства.
Чтобы определить подойдет ли вам этот способ, обратитесь к врачу-стоматологу.
Вам перезвонит первый наш
освободившийся специалист